연세디자인치과의 특별함 담당 주치의의 꾸준한 책임~관리! 연세디자인치과로 오세요

연세대 X 서울대 5인 협진

보건복지부 인증 전문의

상담문의

02.846.7528

YONSEI DESIGN DENTAL CLINIC

무너진 잇몸 회복 프로그램

28개의 치아를 82세까지 튼튼히 관리하세요. 잇몸전문가 치주과 전문의가 꼼꼼히 관리해드리겠습니다.
잇몸질환이 적절한 시기에 치료, 관리되지 않는다면 치아를 발치 하게 될 수 있습니다.
또한 이미 잇몸뼈가 무너지면 이전의 건강한 상태로 돌아가기는 매우 어렵습니다.
따라서 잇몸질환 초기에 미리 치료를 시작하고 올바른 칫솔질과 구강관리를 통해 잇몸을 건강히 유지해야 합니다.
연세디자인치과는 자연치아를 살리고 건강하게 유지하기 위해 아래와 같이 잇몸을 치료하고 관리해드리고 있습니다.

3D CT를 통한 정밀진단

정밀 진단을 통하여 잇몸상태를 정밀히 검사하고 판단하여 치료계획을 세웁니다.
일반적으로 다음과 같은 증상이 있는경우 잇몸 검사 및 잇몸치료가 필요합니다.

잇몸이 붓거나 붉게 변한경우

양치질할떄 피가나는 경우

잇몸 주변에 통증이 있는 경우

치아가 흔들리거나 단단한 음식을 씹기 어려운 경우

최근에 입냄새가 심해지신 경우

스케일링 및 잇몸치료

개개의 치아 상태에 따라 필요한 잇몸치료방법은 다릅니다.
크게 아래와 같은 기준을 두고 맞춤형 치료를 진행합니다.

01

스케일링

잇몸 건강에 가장 기본이면서 가장 중요한 치료입니다. 초기단계의 잇몸 질환인 경우 정기적인 스케일링과 예방적 치료가 필요합니다.

02

치은연하소파술 (비수술적 치료)

모든 매복 사랑니발치, 수술 전에 3D CT를 촬영하고 분석합니다. 이를 바탕으로 안전하고 신속하게 치료할 수 있습니다.

03

치주박리소파술 (수술적 치료)

중등도 이상의 잇몸질환으로 잇몸뼈가 많이 녹고 흔들리는 경우 시행할 수 있습니다. 치아를 최대한 발치하지 않고 수명을 연장하기위한 치료입니다.

04

치조골재생솔

잇몸뼈가 심하게 녹은경우 치조골을 이식하여 치아 주변의 잇몸뼈를 재생시킵니다. 정확한 진단을 통해 일부 케이스에서만 치료가 가능합니다.

05

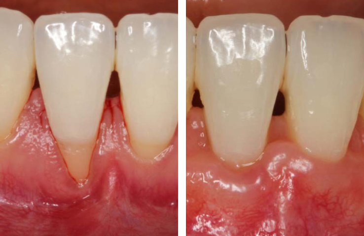
치근피개

잇몸이 내려가 뿌리가 많이 보이고 시린경우 잇몸수술을 통해 해결할 수 있습니다.

구강위생 관리방법 설명

치료 후 환자분이 올바른 방법으로 잇몸건강을 관리할 수 있으시도록 알려드립니다.

올바른 칫솔 사용법


01

30cm정도의 길이로 치실을 잘라 가운데 손가락에 말아주세요. (한쪽을 많이 감아주세요.)

02

5~6cm의 길이만큼 집게 손가락으로 잡아주세요.

03

들어갈 때 잇몸이 다칠 수 있으므로 톱질하듯이 좌우로 비비며 넣어주세요.

04

뺄 때는 한번에 툭 하고 빼주세요. 길게 감은 쪽 실을 풀고 짧은 쪽 실을 감아주시면 새 치실이 나와요. 치아 사이마다 같은 방법으로 이물질을 제거해 주세요.

올바른 치간 칫솔 사용법


01

치간 칫솔 사이즈를 선택하세요.

02

치간 칫솔 모를 구부려요. 이때 철사부분 말고 고무 부분을 구부려 주세요.

03

치아 사이에 돌리면서 넣어 앞 뒤로 2~3회 움직여 주세요.

04

이물질 제거, 흐르는 물에 세척

올바른 칫솔 사용법


01

치아와 잇몸 경계선에 치석이 쌓여요. 잇몸에서부터 치아 방향(아래턱은 아래에서 위)으로 인접면을 닦아주세요.

02

앞니 쪽은 치아 사이가 좁기 때문에 세로로 닦아주세요.

03

씹는 면은 치아 2~3개씩 돌돌 굴려가며 닦아주세요.

04

위턱(위에서 아래)도 같은 방법으로 닦아주세요.

개인 맞춤형 정기 잇몸관리

건강해진 잇몸을 유지할 수 있도록 정기적으로 관리합니다.
환자분마다 필요한 정기검진의 주기는 다르며, 관리 상황에 따라 위의 잇몸치료과정을 다시 진행해야 할 수 있습니다.
환자분 개개인에 적절한 내원 주기 및 치료방법을 알려드립니다.

정기적인 잇몸 관리
체크 리스트

구강위생 상태 및 치석침착 정도

불량한 보철물, 수복물의 유무

잇몸질환과 관련이 있는 전신질환 유무

흔들리는 치아 또는 치조골이 50%이상 소실된 치아 유무

잇몸 염증 소견 및 치주낭 유무

흡연 유무