연세디자인치과의 특별함 담당 주치의의 꾸준한 책임~관리! 연세디자인치과로 오세요

연세대 X 서울대 5인 협진

보건복지부 인증 전문의

상담문의

02.846.7528

YONSEI DESIGN DENTAL CLINIC

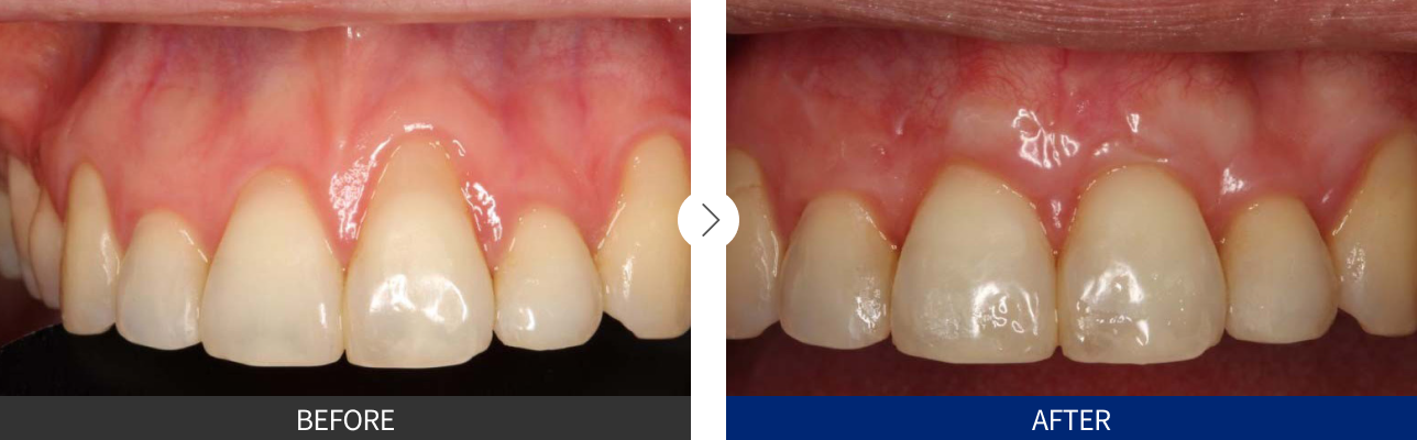
잇몸 성형

웃을 때 잇몸이 많이 보이거나, 비대칭으로 보이는 경우, 또는 잇몸으로 인한 콤플렉스를 가지고 있는 분들은
잇몸 성형을 통해 일부분의 잇몸을 새롭게 디자인함으로써 자연스럽고 이상적인 잇몸 라인을 만들 수 있습니다.

잇몸 성형이 필요한 경우

웃을 때 잇몸이 많이 보여 환하게 웃기 껴려지는 경우

잇몸이 과도하게 길어 치아가 짧아보이는 경우

잇몸 라인이 불규칙하여 치아배열도 고르지 못하게 보이는 경우

약물 복용으로 잇몸이 비대해진 경우

잇몸 성형 장점

잇몸 성형 치료 사례