연세디자인치과의 특별함 담당 주치의의 꾸준한 책임~관리! 연세디자인치과로 오세요

연세대 X 서울대 5인 협진

보건복지부 인증 전문의

상담문의

02.846.7528

YONSEI DESIGN DENTAL CLINIC

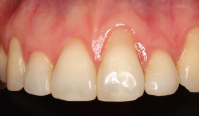
앞니 재보철 치료

오래된 보철물 내부의 금속이나 뿌리가 노출되어 보이고 기존 보철물의 형태와 크기 색깔이 부자연스러운 경우
보기에 좋지 않거나 잇몸건강에 문제가 있는 경우 심미적 앞니 재보철 치료를 통해 아름다운 치아로 이미지를 개선합니다.

앞니 재보철 치료가 필요한 경우

기존 보철물에 의한 잇몸 변색이 있는 경우

기존 보철물의 형태, 크기, 색이 부자연스러워진 경우

보철물 주변 잇몸 건강이 좋지 않은 경우

더욱 심미적인 보철물을 원하는 경우

앞니 재보철 치료 장점